গোপাল সাহা
আবারও প্রমাণিত হল চিকিৎসায় বাংলাই বিশ্বের দরবারে সেরা। চিকিৎসক সত্যম চক্রবর্তীর অভিনব আবিষ্কার রচনা করল ইতিহাস। আবিষ্কার হল মস্তিষ্কে ‘ডোম সাইন’ যা বিশ্বের দরবারে বাংলা চিকিৎসাজগতে প্রমাণ করল সেরার সেরা। এবার টিউমার চিকিৎসা মানেই অস্ত্রোপচারে নয়, কাজ সারবে ওষুধই! জানালেন চিকিৎসক নিজেই। তবে তিনি আরও বলেন, “এই জয় আমার একার নয়, আমাদের গ্রুপের জয়, আমি এবং আমার সহকারীদের মিলিত জয়”।
কিন্তু কিভাবে হল এই অসাধ্য এবং কী এই 'ডোম সাইন' আবিষ্কার? এই আবিষ্কার নিয়ে চিকিৎসক আজকাল ডট ইনের মুখোমুখি হয়ে গোটা বিষয়টি বিশ্লেষণ করেছেন খোদ চিকিৎসকই। তিনি জানিয়েছেন, নির্বিচারে পিটুইটারি অস্ত্রোপচার নয়, কারণ হতে পারে অপরিচিত হাইপোথাইরয়েডিজম। মোট তিনটি কেস নিয়ে মূল্যায়ন করা হয়েছে।
আরও পড়ুন: অলৌকিক না কি বিজ্ঞান, পিটুইটারি গ্রন্থিবিহীন ১৯ বছর, হতবাক চিকিৎসাবিজ্ঞান!
শিশুদের মধ্যে সেলার ও সুপ্রাসেলার (পিটুইটারি গ্রন্থির চারিদিকে যে টিউমার জন্ম নেয়) টিউমারের প্রায় ২.৭ শতাংশ ও অস্ত্রোপচারে অপসারিত টিউমারের মধ্যে প্রায় ৩.৫-৬ শতাংশ পিটুইটারি অ্যাডেনোমা। ক্রানিওফ্যারিঞ্জিওমা হল পিটুইটারি উৎসজাত ৮০-৯০ শতাং নিউপ্লাজম। এই ধরনের টিউমারগুলি সাধারণত দেখা দেয় দৃষ্টিশক্তি সমস্যার মাধ্যমে। তবে অনেক সময় এটি বৃদ্ধির হার কমিয়ে দেয়, বিলম্বিত হয় যৌবন আসতে, অ্যাডরিনাল ও থাইরয়েড হরমোনের ঘাটতি দ্বারাও প্রকাশ পায়। অস্পষ্ট মাথাব্যথাও থাকতে পারে। সাধারণত উপসর্গগুলি রোগ নির্ণয়ে সহায়তা করে এবং ক্রানিওফ্যারিঞ্জিওমা এবং নির্বাচিত নন-ফাংশনাল পিটুইটারি অ্যাডেনোমার ক্ষেত্রে অস্ত্রোপচারই সাধারণত প্রধান চিকিৎসা। অন্যদিকে, প্রোলেকটিনোমা ওষুধের দ্বারাই চিকিৎসা সম্ভব।

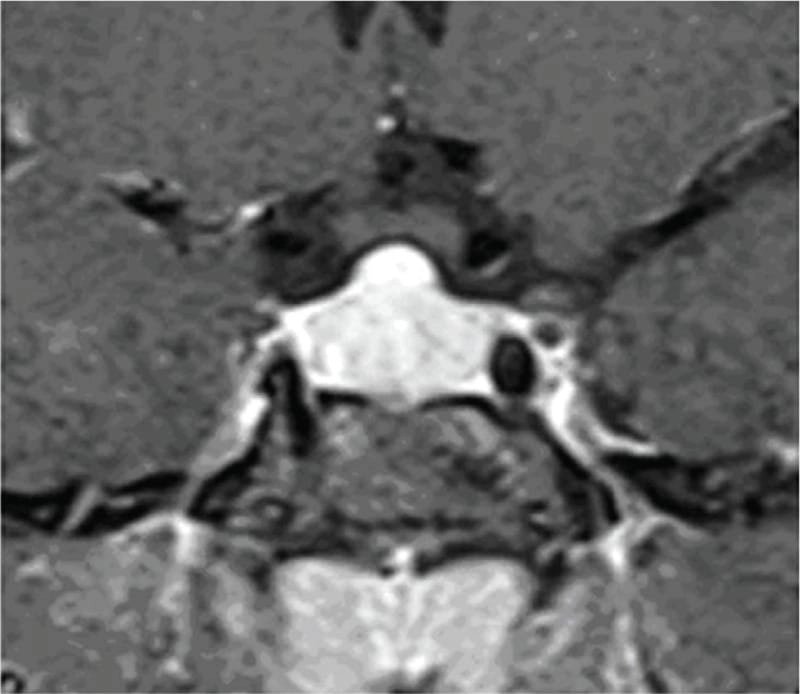
তবে পিটুইটারি হাইপারপ্লাসিয়া দেখা যায় প্রাইমারি গনাডাল, অ্যাডরিনাল বা হাইপোথাইরয়েডিজমের মত এন্ড অর্গান ইনসাফিসিয়েন্সিতে। বিশেষ করে, অব্যবহৃত প্রাইমারি হাইপোথাইরয়েডিজমে পিটুইটারি হাইপারপ্লাসিয়া পূর্বের ধারণার তুলনায় অনেক বেশি দেখা যায়। ২০১৯ সাল পর্যন্ত এরকম ১০৫টি কেস রিপোর্ট করা হয়েছে। এই ধরনের হাইপারপ্লাসিয়া গম্বুজ-আকৃতির (dome-shaped) হয়ে অপটিক কায়াজমাকে চেপে ধরতে পারে, যার ফলে অপারেশনের প্রয়োজন পড়তে পারে—যেমনটা আমাদের তৃতীয় কেসে ঘটেছিল।
এই প্রেক্ষাপটে আমরা তিনটি কেস উপস্থাপন করছি, যেখানে প্রাথমিকভাবে একটি পিটুইটারি অ্যাডেনোমা বলে মনে হলেও, পরবর্তীতে এটি প্রমাণিত হয় হাইপোথাইরয়েডিজমজনিত হাইপারপ্লাসিয়া এবং শুধুমাত্র লেভোথাইরক্সিন চিকিৎসায় পুরোপুরি সেরে ওঠে।
ঘটনা অর্থাৎ চিকিৎসা সংক্রান্ত তিনটির ঘটনার একটু বিশদ বিবরণ দেখে নেওয়া যাক:
কেস ১: একজন ১৬ বছর বয়সী কিশোরী প্রাথমিক অ্যামেনোরিয়া ও খর্বাকৃতিজনিত কারণে এমআরআই করার পর একটি পিটুইটারি টিউমার শনাক্ত হয় এবং তাকে অস্ত্রোপচারের জন্য রেফার করা হয়। তবে তার রক্ত পরীক্ষায় পাওয়া যায় TSH ছিল 119.20 এবং Free T4 ছিল 4.14 pmol। এই অস্বাভাবিক মাত্রার কারণে এটিকে একটি থাইরোট্রোফ হাইপারপ্লাসিয়া হিসেবে বিবেচনা করা হয় এবং তার চিকিৎসা শুরু হয় এবং ৬ মাসের মধ্যে উচ্চতা ১২৪ থাকে বেড়ে ১৩১ সেমি হয় এবং তার ঋতু ও শুরু হয় এবং MRI-তে টিউমার সম্পূর্ণভাবে অদৃশ্য হয়ে যায়।

কেস ২: একই রকমভাবে, ১৫ বছর বয়সী আরও একজন কিশোরী অল্প উচ্চতা ও টিউমার সন্দেহে নিউরোসার্জেনের কাছে রেফার করা হয়। তার TSH ছিল 100 এবং MRI-তে একটি ডোম-আকৃতির টিউমার দেখা যায়। যাকে ওষুধের চিকিৎসায় সত্য জীবনে ফিরিয়ে আনা হয় এবং ৬ মাসে তার উচ্চতা বৃদ্ধি পায় ও নিয়মিত মাসিক শুরু হয়। MRI-তে টিউমার সম্পূর্ণ অদৃশ্য হয়ে যায়।

কেস ৩: এই কেসে, ২৪ বছর বয়সী এক তরুণীকে পিটুইটারি টিউমার সন্দেহে অপারেশন করা হয় এবং পরদিন হরমোনাল চিকিৎসার জন্য রেফার করা হয়, যিনি অপারেশনের পর ডায়াবেটিস ইনসিপিডাসে আক্রান্ত হন। পরবর্তী বিশ্লেষণে তার প্রি-অপারেটিভ TSH ছিল অনেক বেশি এবং MRI তে “ডোম-আকৃতির” পিটুইটারি বড় হওয়া দেখা যায়। অপারেশন এড়ানো সম্ভব হলে, এ রোগীও ওষুধেই সুস্থ হতে পারতেন। এরকম টিউমার সন্দেহে অপারেশনের নিদর্শন বিশ্বযুরে একাধিক রয়েছে এবং বলাবাহুল্য এ ধরনের অপ্রয়োজনীয় অপারেশনের পরে রুগীরা আজীবন বন্ধ্যাত্ব এবং একাধিক হরমোন ঘাটতির কারণে জীবনভর ভুগতে হয়। ভাগ্যক্রমে, এই রোগীটির ক্ষেত্রে অপারেশনের পর তিনি কোনো স্থায়ী নিউরো-হরমোনাল ঘাটতিতে পরেননি।

পিটুইটারি গ্রন্থি কী এবং এর কার্যকারিতা সম্পর্কে বিজ্ঞানসম্মত বিশ্লেষণ:
পিটুইটারি গ্রন্থি হল একটি ছোট, মটরদানার মতো আকারের অন্তঃস্রাবী (হরমোন-নির্গতকারী) গ্রন্থি, যা মস্তিষ্কের তলদেশে, হাইপোথ্যালামাসের নিচে অবস্থিত। এটি হাইপোথ্যালামাসের সঙ্গে একটি স্নায়ু রেশা ও রক্তনালীর ডাঁটা দ্বারা সংযুক্ত। পিটুইটারি গ্রন্থিকে প্রায়ই “মাস্টার গ্রন্থি” বলা হয়, কারণ এটি শরীরের বিভিন্ন গুরুত্বপূর্ণ কার্যাবলি নিয়ন্ত্রণে মূল ভূমিকা পালন করে হরমোন উৎপাদন ও নিঃসরণের মাধ্যমে।
পিটুইটারি গ্রন্থির গঠন ও প্রয়োজনীয়তা নিয়ে বিস্তারিত ব্যাখ্যা:
১. অবস্থান ও গঠন: পিটুইটারি গ্রন্থি একটি হাড়ের গঠন, যাকে সেলা টার্সিকা বলা হয়, তার ভিতরে বসে থাকে। এটি মাথার খুলির নিচের দিকে, স্ফেনয়েড নামক হাড়ে একটি গহ্বর, যা নাকের পেছনে অবস্থান করে। এটি অপটিক কায়াজম (optic chiasm) এর নিচে অবস্থিত, যেখানে দুটি চোখের স্নায়ু পরস্পর ক্রস করে। এটি ইন্টারনাল ক্যারোটিড আর্টারি নামক দুটি প্রধান রক্তনালীর মাঝখানে থাকে।
পিটুইটারি গ্রন্থি দু’টি প্রধান ভাগে বিভক্ত: অ্যান্টেরিয়র (সামনের) ও পোস্টেরিয়র (পিছনের) লোব। মানুষের ক্ষেত্রে ইন্টারমিডিয়েট লোব থাকলেও তা স্বতন্ত্র অংশ হিসেবে গঠিত নয়। অ্যান্টেরিয়র লোব অপেক্ষাকৃত বড় এবং পুরো গ্রন্থির প্রায় ৮০% ওজন ধারণ করে।
২. এই গ্রন্থির কার্যাবলি
* পিটুইটারি গ্রন্থি স্নায়ুতন্ত্র ও অন্তঃস্রাবী তন্ত্রের মাঝে একটি সেতুবন্ধন রচনা করে।
* এটি হাইপোথ্যালামাস থেকে সংকেত পেয়ে বিভিন্ন হরমোন নিঃসরণ করে, যা শরীরের অন্যান্য অন্তঃস্রাবী গ্রন্থি ও অঙ্গের কার্যক্রম নিয়ন্ত্রণ করে।
* এই হরমোনগুলোর প্রভাব পড়ে বৃদ্ধি, বিপাকক্রিয়া (metabolism), রক্তচাপ, প্রজনন ক্ষমতা এবং আরও অনেক গুরুত্বপূর্ণ শারীরবৃত্তীয় প্রক্রিয়ার উপর।
* পিটুইটারি গ্রন্থি যে গুরুত্বপূর্ণ হরমোনগুলি নিঃসরণ করে তার মধ্যে রয়েছে:
1. গ্রোথ হরমোন (Growth Hormone - GH)
2. থাইরয়েড স্টিমুলেটিং হরমোন (TSH)
3. প্রোল্যাকটিন, ইত্যাদি।
এই হরমোনগুলি থাইরয়েড, অ্যাড্রিনাল গ্রন্থি, ডিম্বাশয় (ovaries), ও অণ্ডকোষ (testes)-এর মত অন্যান্য অন্তঃস্রাবী গ্রন্থিকে প্রভাবিত করে।
৩. পিটুইটারি গ্রন্থির সাথে মস্তিষ্কের সংযোগ:
* পিটুইটারি গ্রন্থি হাইপোথ্যালামাসের সঙ্গে কার্যকরভাবে সংযুক্ত, যা হরমোন নিঃসরণের উপর নিয়ন্ত্রণকারী এক গুরুত্বপূর্ণ মস্তিষ্কের অংশ।
* হাইপোথ্যালামাস, স্নায়ু ও রক্তনালীর মাধ্যমে পিটুইটারি গ্রন্থিকে সংকেত পাঠায়, যার প্রতিক্রিয়ায় পিটুইটারি নির্দিষ্ট হরমোন তৈরি ও নিঃসরণ করে।
* এই হরমোনগুলি তারপর রক্তপ্রবাহের মাধ্যমে সারা শরীরে পৌঁছে নির্দিষ্ট অঙ্গ বা গ্রন্থির ওপর কাজ করে, শরীরের সামগ্রিক ভারসাম্য রক্ষা করে।
মূল বিষয় হলো, পিটুইটারি গ্রন্থি হলো শরীরের হরমোন নিয়ন্ত্রণ ব্যবস্থার কেন্দ্রবিন্দু, যা হাইপোথ্যালামাসের নির্দেশে বিভিন্ন হরমোনের মাধ্যমে আমাদের দেহের নানা গুরুত্বপূর্ণ প্রক্রিয়া নিয়ন্ত্রণ করে।
'ডোম সাইন' এল কোথা থেকে এবং কারণ?
চিকিৎসক তথা আবিষ্কারক সত্যম তিনটি কেসের বিষয় নিয়ে যখন তুলনা করতে নিলেন এবং পুরনো সৃষ্টি ঘাটতে শুরু করলেন তখন তিনি দেখতে পান সবগুলি ক্ষেত্রেই একই রকম সাদৃশ্য অর্থাৎ পিটুইটারি গ্রন্থি মাঝের অংশ এই গ্রন্থি দেখতে খানিকটা প্রজাপতির মতোই এবং তার মাঝের অংশের (প্রজাপতির দেহের উপরের অংশ মাথার মতই দেখতে) উপরের ভাগ সব ক্ষেত্রেই ডোমের মত বা গম্বুজ আকৃতির। তিনি এই ডোম বা গম্বুজ আকৃতি হওয়ার কারণ বিশ্লেষণ করতে গিয়ে দেখেন পিটুইটারির সামনের অংশ যেখানে থাইরোট্রপগুলো থাকে, যেখান থেকে এই টিউমারটি হয়। আর যখনই এটি বাড়বে তখন টমের মতনই তৈরি হবে। অর্থাৎ গম্বুজ আকৃতির। আর সেখান থেকেই ডোম-সাইনের উৎস অর্থাৎ আবিষ্কার।

চিকিৎসক আরও জানান, এই ডোম সাইন আগামী দিনে চিকিৎসকদের অর্থাৎ নিউরোলজিস্ট এবং রেডিওলজিস্টদের একদিকে যেমন পথ নির্দেশ করবে, একই সাথে সচেতন করবে যাতে এই ধরনের টিউমার এর ক্ষেত্রে অস্ত্রোপচার বা অপারেশন করার আগে তাদের দশবার ভাবতে হবে। কোন অবস্থাতেই এই ক্ষেত্রে অস্ত্রোপাচার এর আগে কোন একজন এন্ডোক্রোনোলজিস্ট এর সঙ্গে আলোচনা না করে যেন এ জায়গায় হাত না দেওয়া হয়। তাতে রোগী অবশ্যই সুরক্ষিত থাকবে।

(একাধিক চিকিৎসক বিশেষজ্ঞদের পরীক্ষা ও চিকিৎসায় যে চিত্র সামনে আসে)
এই বিষয়ে আলোচনা করতে গিয়ে তিনি জানান, এর থেকে বোঝা যায় যে, দীর্ঘদিনের অব্যবহৃত হাইপোথাইরয়েডিজম, বিশেষ করে কিশোরীদের মধ্যে, নানা উপসর্গে প্রকাশ পেতে পারে যেমন - খর্বাকৃতি (বেঁটে), মাসিক বন্ধ থাকা, মাথাব্যথা ও (কদাচিৎ ক্ষেত্রে) দৃষ্টিশক্তির সমস্যা—যা ভুলবশত একটি পিটুইটারি অ্যাডেনোমা মনে হতে পারে। হাইপোথাইরয়েডিজমের কারণে হাইপারপ্লাসিয়ার ফলেই এমন চিত্র তৈরি হয়।
MRI-তে এই হাইপারপ্লাসিয়া সাধারণত গম্বুজ-আকৃতির ও সমমিত হয় এবং হোমোজেনাস সিগনাল ইন্টেনসিটি দেখায়, যেখানে সাধারণ নন-ফাংশনাল পিটুইটারি অ্যাডেনোমা নানা আকার ও অসমতা নিয়ে দেখা যায়।
পূর্ববর্তী গবেষণাগুলিও এই ‘Dome Sign’-এর গুরুত্ব তুলে ধরেছেন, যেমন ডঃ আহমেদ (১৯৮৯), ডঃ সারলিস (২০০০), ডঃ ফ্রান্সেস্কি ও পাসেরি (২০১১) এবং ডঃ শুক্লা (২০১৯)। এসব গবেষণায় MRI-তে ডোম-আকৃতির হাইপারপ্লাসিয়া শণাক্ত হয়েছে যা লেভোথাইরক্সিন চিকিৎসার মাধ্যমে কয়েক সপ্তাহের মধ্যেই হ্রাস পেয়েছে।
তিনি আরও বলেন, "অব্যবহৃত প্রাথমিক হাইপোথাইরয়েডিজমের কারণে পিটুইটারি হাইপারপ্লাসিয়া হতে পারে এবং এর ফলে MRI-তে যেটি একটি পিটুইটারি টিউমার বলে মনে হয়, সেটি আসলে সম্পূর্ণ হরমোনাল চিকিৎসায় সেরে ওঠে। নিউরোসার্জিকাল হস্তক্ষেপ এড়াতে এবং রোগীর ভবিষ্যৎ প্রজনন ক্ষমতা, হরমোন ব্যালান্স ও জীবনমান রক্ষা করতে এন্ডোক্রিনোলজিক্যাল ও নিউরোরেডিওলজিক্যাল মূল্যায়ন অত্যন্ত গুরুত্বপূর্ণ"।
তাঁর দাবি, MRI-তে ‘DOME Sign’ থাকা এবং TSH বাড়তি থাকলে, সেটি হাইপোথাইরয়েডিজম-জনিত হাইপারপ্লাসিয়ার সম্ভাবনার কথা নির্দেশ করে এবং এই রোগীদের শুধুমাত্র লেভোথাইরক্সিন দিয়ে চিকিৎসা করলে পূর্ণ আরোগ্য সম্ভব।
















